Sử dụng que thử rụng trứng là một biện pháp giúp nắm rõ được ngày [...]
Chế độ ăn là một trong những yếu tố nguy cơ gây ung thư tuyến [...]
Bệnh viêm động mạch Takayasu là một loại hiếm gặp của viêm mạch, bệnh có [...]
Hội chứng Dumping là một tình trạng xảy ra sau khi phẫu thuật loại bỏ [...]
Thuốc Maalox thuộc nhóm thuốc đường tiêu hóa, được bào chế dưới dạng viên nén [...]
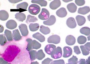
Bệnh Babesia là một bệnh nhiễm trùng hiếm gặp do một loại ký sinh trùng [...]
Ho lâu ngày uống kháng sinh không khỏi có thể liên quan đến một số [...]
Ngày nay, viêm da dị ứng ở trẻ em có xu hướng phát triển trước [...]
Với trẻ em, ánh nắng mặt trời là nguồn cung cấp vitamin D tự nhiên [...]
Tình trạng đau lưng rất khó chịu là triệu chứng phổ biến trong giai đoạn [...]