Thuốc tránh thai khẩn cấp thường là một trong những lựa chọn tránh thai phổ [...]
Hiện tượng ngứa dưới da là triệu chứng điển hình của một số bệnh lý [...]
Đau lưng là một trong những tình trạng y tế phổ biến nhất. Đây thường [...]
Ho là một triệu chứng thường gặp gây khó chịu cho người bệnh. Hơn nữa [...]
Khi các vấn đề về thời tiết hay nhiệt độ đột ngột thay đổi có [...]
Khi mang thai cơ thể người phụ nữ có nhiều thay đổi về nội tiết [...]
Theo Y học cổ truyền, hà thủ ô đỏ có vị chát, ngọt, đắng, tính [...]
Viêm VA là một trong những chứng bệnh thường gặp ở trẻ, nếu chủ quan [...]
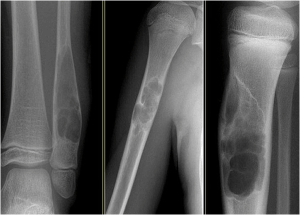
Ung thư xương là một bệnh lý ác tính thường gặp ở thiếu niên và [...]